※手術の写真を掲載しておりますので、
苦手な方はご注意ください。
膝蓋骨内方脱臼(MPLといいます)は小型犬の後肢に影響を与える最も一般的な整形学的疾患の一つです。MPLの多くが小型犬であり、外傷なしで生まれつきもしくは生後早い段階で発生するため、遺伝的要因も関与している可能性が示唆されています。 MPLの要因は一つではなく、さまざまなことが複合的に合わさることで起きています。 1. コクサ・ヴァラ 大腿骨近位の内旋。 2. 大腿骨の遠位3分の1が内側に反っている。 3. 滑車溝の内側壁が浅いか欠損している。 4. 内側顆が低形成で、関節が傾いている。 5. 脛骨遠位端は外旋しているにも関わらず、脛骨粗面は内側への捻れている。 6. 脛骨近位部の内側への湾曲。 7.脛骨遠位端は外旋しているにもかかわらず、結果的に足先が内旋している。 このように骨の形態学的な異常から脱臼することがわかってきていますが、まだはっきりとしたことはわかっていません。

MPLではシングルトン分類というグレーディングシステムが一般的に利用されます。 Grade1:通常時には脱臼しないが、徒手によって脱臼がおきる。手を外すと正常位置に戻る。 Grade2:基本時にははまっているが、膝の屈伸や徒手により外れる。膝の屈伸や徒手で元に戻る。 Grade3:基本的に脱臼してしまっているが、徒手によって戻すことができる。手を離すと脱臼する。 Grade4:常に脱臼していて、徒手によっても戻すことができない 一般的にグレードが高いほど重症度が高いですが、必ずしも症状と一致しないのが難しいところです。 症状には時々跛行(ケンケンすること)する間欠的跛行と呼ばれるものから、完全に上げてしまって足をつくことができない(挙上といいます)状態などが挙げられます。お姉さん座りのように足を投げ出す、足を後ろに伸ばす仕草などが見られることもあります。 しかし、多くのMPL患者では症状がなく経過していきます。 膝蓋骨が脱臼することで膝の硝子軟骨というツルツルの軟骨が削れてしまい、その下の軟骨下骨が露出し、痛みになります。その後、その部分を自ら修復しようと繊維軟骨が覆っていきますが、その後関節炎が進行していきます。 そのような患者の中には中高齢になった段階で関節炎が起きて痛みが出るケースも見られます。また、そのほかにも膝の中の前十字靭帯が断裂して痛みが出て足をつくことができなくなったり、腰を痛めてしまったり、前肢を痛めてしまったりという患者が一定数います。


そのため、理想的には関節炎がなるべく少ない時期、つまり脱臼回数が少ないタイミングで外れないようにしてあげることが、関節炎を予防するために最も良い方法となります。 治療法には大きく分けて、内科療法と外科療法の二つに分かれますが、根本的な治療は外科療法となります。 外科には ①滑車溝形成術(溝を深くする) ②内側支帯リリース術(内側の筋肉や靭帯を緩める) ③外側支帯縫縮術(外側の筋肉や靭帯を縫い縮める) ④脛骨粗面転移術(パテラがくっついてい脛骨粗面というところを外側にずらす) ⑤内旋制動術(脛骨が内側に捻じれないように外に引っ張る) などを組み合わせて行われます。Grade4などの重症例に関しては矯正骨きり術と呼ばれる術式が適応となることもあります。







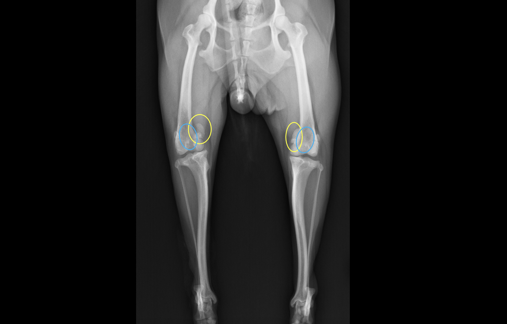
術後は2週間後に抜糸+レントゲン、その後2週間後にレントゲン、1ヶ月後にレントゲン撮影で一旦終了となります。2ヶ月を目処に通常の運動量に戻していきます。両側脱臼の際には両側同時に実施することを推奨しています。
膝蓋骨内方脱臼について何かありましたら、当院までご相談ください。
執筆担当:獣医師 磯野
動物医療センター豪徳寺トップページ
東京都世田谷区豪徳寺1-38-11
TEL:03-3420-7711